Performs equalization between the hard tissue and the soft tissue in X-ray images, resulting in better quality for better interpretation and understanding of the image.
#include "l_bitmap.h"
L_LTIMGCOR_API L_INT EXT_FUNCTION L_TissueEqualizeBitmap(pBitmap, uFlags)
Pointer to the bitmap handle referencing the bitmap to perform the equalization operation on.
Flags that indicate the type of processing. Possible values are:
| Value | Meaning |
|---|---|
| TISSUEEQUALIZE_INTENSIFY | [0x00000002] Performs tissue equalization with contrast intensification. |
| TISSUEEQUALIZE_SIMPLIFY | [0x00000001] Performs tissue equalization with simplification of intensity values across the image. |
| Value | Meaning |
|---|---|
| SUCCESS | The function was successful. |
| < 1 | An error occurred. Refer to Return Codes. |
If the bitmap has a region, the effect will be applied on the region only; otherwise the whole image will be processed.
This function supports DICOM images.
This function does not support 32-bit grayscale images. It returns the error code ERROR_GRAY32_UNSUPPORTED if a 32-bit grayscale image is passed to this function.
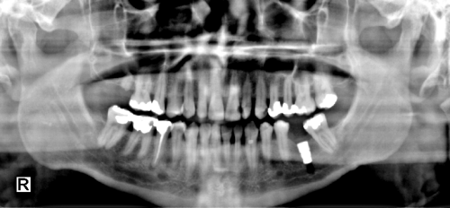
Tissue Equalize Function - Before

Tissue Equalize Function - After

View additional platform support for this Tissue Equalize function.
Win32, x64, Linux.
This example loads a bitmap and applies the Tissue Equalization on it
L_INT TissueEqualizeExample(L_VOID){L_INT nRet;BITMAPHANDLE LeadBitmap; /*Bitmap handle to hold the loaded image*//* Load the bitmap, keeping the bits per pixel of the file */nRet = L_LoadBitmap(MAKE_IMAGE_PATH(TEXT("ImageProcessingDemo\\Image3.cmp")),&LeadBitmap, sizeof(BITMAPHANDLE), 0,ORDER_BGR, NULL, NULL);if (nRet != SUCCESS)return nRet;//Apply Tissue Equalize filter with Intensify optionnRet = L_TissueEqualizeBitmap(&LeadBitmap, TISSUEEQUALIZE_INTENSIFY);if (nRet != SUCCESS)return nRet;//free bitmapif (LeadBitmap.Flags.Allocated)L_FreeBitmap(&LeadBitmap);return SUCCESS;}
Help Collections
Raster .NET | C API | C++ Class Library | HTML5 JavaScript
Document .NET | C API | C++ Class Library | HTML5 JavaScript
Medical .NET | C API | C++ Class Library | HTML5 JavaScript
Medical Web Viewer .NET
Multimedia
Direct Show .NET | C API | Filters
Media Foundation .NET | C API | Transforms
Supported Platforms
.NET, Java, Android, and iOS/macOS Assemblies
Imaging, Medical, and Document
C API/C++ Class Libraries
Imaging, Medical, and Document
HTML5 JavaScript Libraries
Imaging, Medical, and Document
