The Medical Web Viewer Demo enables users to view and manipulate a wide variety of medical images.
HTML5-Compliant
Requires no installation on the client’s behalf and is compatible with any HTML5-compliant web browser (including Google Chrome, Microsoft Internet Explorer 9 and up, Microsoft Edge, Mozilla Firefox, MacOS Safari, iPad, iPhone, Android, and more).
Image Sources and Network Sharing
Digital Images from a variety of different sources (including CT, MRI, Ultrasound Units, imaging sources etc.) can be analyzed, displayed, manipulated, stored, and sent across different networks.
Powerful Viewing and Processing Options
There are several different functions for viewing images. Some of these functions include annotation and measurement of regions of the image, image stacking, window width, and level manipulation.
3D images can be rendered through VRT , MIP , and MPR (3D) functions.
Default Toolbar



| Tool Name | Description | Image |
|---|---|---|
| Compose Layout | Used to utilize the Merge Cells tool, Saving Hanging Protocol , Save Study Structured Display tool, and the Delete Study Structured Display tool. | ![]() |
| Merge Cells | Used to combine multiple cells into a single cell. | ![]() |
| Save Hanging Protocol | Used to save the Hanging Protocol settings. | ![]() |
| Save Study Structure Display | Used to save any manipulation done when in the Compose Layout settings. | ![]() |
| Delete Study Structured Display | Used to delete a previously saved Study Structured Display. | ![]() |
| Change Series Layout | Used to change how the series is viewed. | ![]() |
| Change Study Layout | Used to change how to view the study. | ![]() |
| Delete Cell | Used to unload a series from the selected Image Box. | ![]() |
| Tool Name | Description | Image |
|---|---|---|
| Fit | Returns an image that has been zoomed in to the size of the original frame holding the image. | ![]() |
| One to One | Zooms in (or out) on an image so that it is displayed at the same resolution as the screen. | ![]() |
| True Size Display | Used to display the image to its physical size. | ![]() |
| Toggle Full Screen | Tool used to make the image into a full screen image. | ![]() |
| Sort Series | The Sort Series tool is used to sort a multi-frame/multi-image instance series. | ![]() |
| Tool Name | Description | Image |
|---|---|---|
| Print To PDF | Used to save a DICOM image into a local PDF | ![]() |
| Save as Derived | Used to save a processed image into a new series | ![]() |
| Tool Name | Description | Image |
|---|---|---|
| Link Images | Used to link all the images within a stack/series to change when one image is manipulated | ![]() |
| Link Cells | Used to link multiple series (image cells) for manipulation. | ![]() |
| Toggle Study Time Line | The Toggle Study Time Line tool is used to show all available series that are for the selected patient. | ![]() |
| Synchronize Series | Used to make all images in different series that have the same stack orientation to have the ability to be scrolled in sync. | ![]() |
| Stack | Used to convert multiple images into one stack that can be scrolled through. | ![]() |
| Scroll Frame | The Scroll Frame tool is used to scroll a frame at a time when viewing a stacked series in grid view. | ![]() |
| Scroll Row | Used to scroll a row at a time when viewing a stacked series in grid view. | ![]() |
| Scroll Column | Used to scroll a column at a time when viewing a stacked series in grid view. | ![]() |
| Scroll Page | Used to scroll a page at a time when viewing a stacked series in grid view | ![]() |
| Toggle Cine | Used to animate an image stack. | ![]() |
| Cine Player | Used to change the settings that are associated with the Toggle Cine tool. | ![]() |
| Tool Name | Description | Image |
|---|---|---|
| Line Profile | Used to see the intensity value underneath a line that is drawn on the image. | ![]() |
| Probe Tool | Used to identify the actual pixel value underneath the cursor, while also giving the (x,y) coordinates for location referencing. | ![]() |
| Stretch Histogram Color | Used to improve the contrast within the image. The image must be in color. | ![]() |
| Brightness/contrast Color | Used to manipulate the brightness and contrast of the image. The image must be in color. | ![]() |
| HSL (Hue, Saturation, Lightness) Color | Used to manipulate the image by the Hue, Saturation, and Lightness. Image must be of color. | ![]() |
| Window Level | Used to adjust the brightness and contrast of an image. | ![]() |
| Custom Window Level | Allows custom brightness and contrast templates to be used to manipulate an image. | ![]() |
| Invert | Used to make the image the complete opposite color from what is displayed. | ![]() |
| Rotate Clockwise | Used to rotate images 90 degrees clockwise. | ![]() |
| Rotate Counterclockwise | Used to rotate images 90 degrees counterclockwise. | ![]() |
| Flip | Used to mirror an image horizontally. | ![]() |
| Reverse | Used to mirror an image vertically. | ![]() |
| Align Center | Used to center the image along the y-axis in the viewer | ![]() |
| Align Left | Used to bring the image to the left side of the viewer along the y-axis. | ![]() |
| Align Right | Used to bring the image to the right side of the viewer along the y-axis. | ![]() |
| Align Top | Used to bring the image to the top of the viewer along the x-axis. | ![]() |
| Align Bottom | Used to bring the image to the bottom of the viewer along the x-axis. | ![]() |
| Align Middle | Used to bring the image to the middle of the viewer along the x-axis. | ![]() |
| Tool Name | Description | Image |
|---|---|---|
| Pan | Used to move the image around the area of the screen. | ![]() |
| Zoom | Used to zoom in on the image. | ![]() |
| Reload | Used to reset back to the original image. | ![]() |
| Shutter Object | Used to take a geometric mask of combined shapes in order to neutralize the display of pixels located outside of the shutter shape | ![]() |
| Enhance Edges | Used to detail the edges of an image in a clearer view | ![]() |
| Toggle Endodontic | Used to view the dental pulp in a clearer view. | ![]() |
| Toggle Periodontal | Used to view the gums in a clearer view. | ![]() |
| Toggle Dentin | Used to view the hard-boney tissue that is beneath the enamel. | ![]() |
| Spyglass | The Spyglass tool used to look at the image through a focused magnified image. | ![]() |
| Spyglass Invert | Used to look at the image through the invert function but in a more focused view than the whole image. | ![]() |
| Spyglass Clahe | Clahe stands for Contrast Limited Adaptive Histogram Equalization. The Spyglass Clahe tool used to view the magnified image in enhanced contrast. | ![]() |
| Spyglass Reveler | Used to view the magnified image through a specialized image processing filter. | ![]() |
| Tool Name | Description | Image |
|---|---|---|
| Select | Used to have a default cursor. | ![]() |
| Arrow | Used to draw an arrow. | ![]() |
| Point | Used to create a small circle with an x in the center. | ![]() |
| Rectangle | Used to create an outline of a rectangle. | ![]() |
| Ellipse | Used to create an outline of an oval. | ![]() |
| Curve | Used to draw a line that will have a curve in it. | ![]() |
| Line | Used to create a line. | ![]() |
| Free Hand | Used to create a line in any direction on the x,y-axis plane. | ![]() |
| Polyline | Used to create a straight line in any direction within the x,y-axis. | ![]() |
| Polygon | Used to create a polygon in any shape. | ![]() |
| Text | Used to create a text box that will overlay on the image. | ![]() |
| Note | Used to create a sticky note that will be displayed on the image. | ![]() |
| Highlight | Used to create an area that will be highlighted. | ![]() |
| Text Pointer | Used to create a text box and an indicating line. | ![]() |
| Ruler | Used to measure the actual distance from one point to another on an image (Refer to Measurement Tools ). | ![]() |
| Poly Ruler | Similar to the Ruler tool but used for non-linear measurements (Refer to Measurement Tools ). | ![]() |
| Protractor | Used to measure angles (Refer to Measurement Tools ). | ![]() |
| Calibrate Ruler | Used to measure an object of known size and then to manually put in the length of the object. | ![]() |
| Show/Hide/Annotations | Used to toggle all of the annotations on the image, on and off. | ![]() |
| Delete Annotations | Used to delete selected annotations. | ![]() |
| Clear Annotations | Used to remove all the annotations from a single selected image just by clicking the button. | ![]() |
| Clear All Annotations | Used to remove all the annotations on an entire series. | ![]() |
| Save Annotations | Used to save any annotation to a selected image. | ![]() |
| Load Annotations | Used to export the series. | ![]() |
| Tool Name | Description | Image |
|---|---|---|
| Cross Hair | Provides a cross hair on the Axial, Coronal, and Sagittal planes that move in sync with each other providing the same location. | ![]() |
| Show Reference Line | Shows the intersection of the selected image within an orthogonal/oblique stack (3D image). | ![]() |
| Show First and Last Reference Line | Shows where the first and last image in the Image set are located. | ![]() |
| 3D Cursor | The 3D Cursor tool is used to locate a point on an image in different image boxes. | ![]() |
| VRT (Volumen Rendering Technique) | VRT stands for Volume Rendering Technique. The VRT tool used to make a solid 3D rendering of the 3D image set selected. | ![]() |
| MIP (Maximum Intensity Projection) | MIP stands for Maximum Intensity Projection. The MIP tool used to make a MIP 3D image of the 3D image set selected. | ![]() |
| MPR (Multiplanar Reconstruction) | MPR stands for Multiplanar Reconstruction. The MPR (3D) tool used to cut the 3D rendered image into the sagittal, axial, and coronal planes. | ![]() |
| 3D Settings | Used to change the General, MPR/Volume settings for the 3D object within the MPR window. | ![]() |
| Panoramic | Used to create and view images through paraxial slices. | ![]() |
| Rotate 3D Object | The Rotate 3D Object tool used to rotate the 3D image. | ![]() |
| Head Orientation | Used to turn the 3D rendered image to be viewed anatomically from the head looking down to the feet. | ![]() |
| Feet Orientation | Used to turn the 3D rendered image to be viewed anatomically from the feet looking up the head. | ![]() |
| Left Orientation | Used to turn the 3D rendered image to be viewed anatomically from the left side looking right. | ![]() |
| Right Orientation | Used to turn the 3D rendered image to be viewed anatomically from the right side looking left. | ![]() |
| Anterior Orientation | Used to turn the 3D rendered image to be viewed anatomically from the anterior to posterior side of the object. | ![]() |
| Posterior Orientation | Used to turn the 3D rendered image to be viewed anatomically from the posterior to the anterior side of the object. | ![]() |
| Tool Name | Description | Image |
|---|---|---|
| Toggle Overlays | Used to toggle the main DICOM tags on and off. | ![]() |
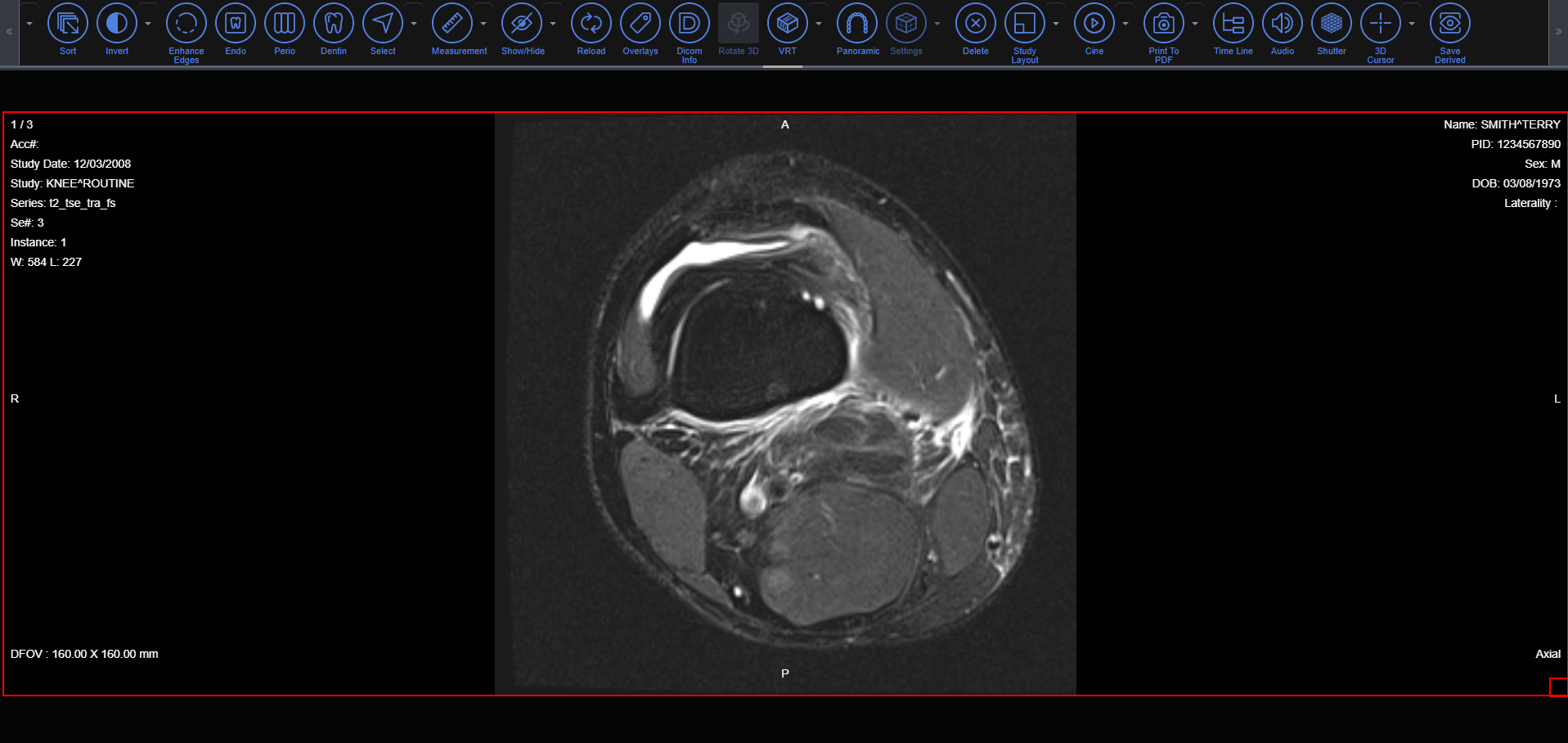
| Show DICOM | Shows a complete list of the DICOM information that is associated with the image. | ![]() |
| Tool Name | Description | Image |
|---|---|---|
| Waveform Basic Audio | Allows for any audio notes associated with the DICOM file to be listened to. | ![]() |
| Tool Name | Description | Image |
|---|---|---|
| Export | Used to save DICOM images locally | ![]() |
In order to view an image on the HTML5 Web Viewer, use the following steps:
Select the "Search" Tab.

Search for a Patient by entering: either the “PATIENT ID”, “PATIENT Name”, “Accession #”, “Referring Dr. Name”, or “Modality”.

Select the “Search” Button.

Select the Patient whose images you want to view.

Select the Image within the Series that is wished to be viewed.

In order to upload a DICOM image in the HTML5 Web Viewer, use the following steps:
Select the "UPLOAD" Tab.

Select "Browse" and input a DICOM image.

In order to email a DICOM image in the HTML5 Web Viewer, use the following steps:
With a series open, select the "E-MAIL" Tab.

Input the email the image will be sent to. Select properties to enable features for viewing.

Select Send, if an exception occurs select the TROUBLESHOOT button.

Open the URL sent through the provided email to view the DICOM image.

The Layout Options provides the HTML5 Medical Viewer support for grid (row and column base) and non-grid (rectangles of multiple shape and sizes) layouts for image display. They can be applied at series level or study level. A user with template editing rights, can also create display templates using the Template Editor ,and save it for other user to use during image viewing. Users can enable the study timeline to see the thumbnail representation of all the available series of a patient, and select the Series or Study layout to setup the image box layouts. A user can also drag a series thumbnail representing the series from the study timeline view and drop it on an image box for viewing. If a user wants to save the currently displayed layout as a DICOM Structured Display or create a DICOM Hanging Protocol (for an imaging procedure type), they can do so by clicking on the Compose Layout button.
The Compose Layout tool provides a wizard used for saving DICOM Structured Display and Hanging Protocol. In addition, the Merge Cells tool allows the creation of a non-grid layout from a grid-layout efficently. Select the desired study or series layout by selected appropriate options from the Series and Study layout drop down menu. Drag and drop images from the study timeline to appropriate a cell, and create the desired view (zoom, fit, invert etc.) before selecting these tools.
To use this tool, select the Compose Layout button. This allows for the following tools to be used: Merge Cells button, Saving Hanging Protocol button, Save Study Structured Display button, and the Delete Study Structured Display tool.

The Merge Cells tool is used to combine multiple cells into a single cell.
To use this tool, first select the Compose Layout button. Then hold down the Ctrl key to select the cells that are needed to be merged. Then, when the cells are selected, click the Merge Cell button to merge the cells.

The Save Hanging Protocol tool will start a wizard that is used to generate the DICOM Hanging Protocol from displayed studies. Hanging Protocol provides a generic set of rules which lay out how a set of images are viewed.
To use this tool, first select the Compose Layout button. Then, select the Saving Hanging Protocol button. The settings can then be changed to the desired information (i.e., Name, Description, Level, Hanging Protocol Definitions, Image Sets, Display Sets). After a change is made, click the save button before moving to another setting screen.

To get to the different setting options click next:
Provide the Name, Description, and Level for which the Hanging Protocol will be applied to.

This is the Hanging Protocol Definition overview that can be used to edit an existing definition, or add a new one.

Add the new Hanging Protocol Definition by supplying a String or using the Anatomic Region Sequence.

This is the image set and time based image set overview that can be used to edit or add a new image set.

Add the new image set based on an attribute.

Add the new time based image set by supplying an applicable time.

Select the display to apply the setting.

Add the filer operation. Select Ok and Save to create the Hanging Protocol.

Right-click on the Study to load the study while using the Hanging Protocol.

The Save Study Structured Display tool is used to save the current patient's image view into a DICOM Structured Display object.
To use the Save Study Structured Display tool, first select the Compose Layout button. Then place the series in the different image boxes. Make sure to orientate, layout the image and apply the tools (synchronized stacking, etc.) desired to the image. Once the study is laid out in the desired format, click the Save Study Structured Display button to save the DICOM Structured Display into the existing study.

The Delete Study Structured Display is used to delete a previous layout saved from the Save Study Structured Display button.
To use the Delete Study Structured Display tool, first select the Compose Layout button. Then manipulate the study structure and save it. Once a study structure is saved, click the Delete Study Structured Display to delete the once saved study structure.

The Change Series Layout used to change how the series is viewed. The Rows and Columns can both be changed. To use this tool, click on the Change Series Layout button and a Change Series Layout screen will appear. In this screen the ability to change the Rows and Columns is available.

Change Series Layout Options

Change Study Layout is used to change how to view the study. The Rows, Columns, and Templates can all be changed.


To use this tool, click on the Change Study Layout button and a Change Study Layout screen will appear. This window provides the ability to change the Rows and Columns. The Templates section provide preconceived views that the study layout can be changed to. A custom template can also be created through the use of the Template Editor .

The Delete Cell tool is used to unload an image from the selected Image Box. This tool does not delete the series from the database.
To use the Delete Cell tool, have a series displayed in the viewer. Then, click the Delete Cell button. If multiple images are displayed, select an image within the series to unload. Then, click the Delete Cell button and it will unload the selected series and leave a blank cell next to the unselected series.

The Window Viewing Tools are used to change how the image is viewed from within the viewer. They allow images to fit the window viewer and provide the ability to compare the images.
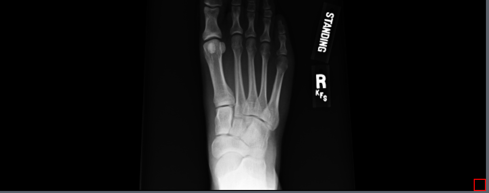
The Fit tool returns an image that has been zoomed in to the size of the original frame holding the image. To use this tool, select the Fit button while the image is displayed on the screen.


Original Image

Fit Image

The One to One tool is used to perform a pixel to pixel display where one pixel of an image is represented by one pixel on the screen. The image will be displayed at the same resolution as the screen, providing the clearest quality.
To use this tool, select the One to One button while the image is displayed on the screen.

The True Size Display tool is used to display the image in a matching physical size of anatomy. This is calculated based on pixel X and Y resolution in the DICOM dataset. To use this tool, select the image in need of manipulation and then click the True Size Display button. To revert the image back to its original form, click the reload button, or select another render option.



The Sort Series tool can be used to sort a multi-frame/multi-image instance series. The series can be sorted by Acquisition Time, Axis, and Instance Number.
To use this tool, select the Sort Series button, then choose one of the three options from the drop-down menu. In order for the button to function an image within the series must be selected.


By double clicking the image, it will fill the entire viewing window with the image. This is also known as performing an Explode and Implode of the image.


The saving image section shows how to save images within the viewer.
The Print To PDF is used to save a DICOM image into a PDF. This button can be used to save changes made to a DICOM image to a PDF that can be viewed locally. To use this tool, click on the Print To PDF button to save the DICOM image to PDF. The PDF will then be downloaded and saved on the local computer.


The Save as Derived is used to save the processed image into a new series. When any of the buttons on the toolbar are used and the image is manipulated, the changed image can be saved using this tool. To use this tool, click on the Save as Derived button and it will save the image. The image will then be populated in the Series.


The Syncing Image Tools are used to connect images within a series together. When one image is manipulated (e.g., applying Zoom in or out), the changes will be reflected in all of the images.
The Link Images tool used to link all the images within a stack/series to change when one image is manipulated. When the Link Images tool is not selected then only the image selected will be manipulated.

The Link Cells tool is used to link multiple series from different studies so that they can be manipulated together (e.g., synchronized scrolling).
To use this tool, two side-by-side series must be displayed in the viewer. Then select the red box in the lower right-hand corner. Once they are selected, click the Link Cells button. This will allow the cells to be linked to each other.



The Toggle Study Time Line tool is used to show all available series that are currently selected for the patient. These are organized by time order and can be clicked and dragged onto a new cell. These will appear at the bottom of the screen with a description and a date.
To use the tool, click the Toggle Study Time Line. There needs to be more than one study associated to the name to see the study time line toggled.

The Synchronize Series tool is used to make all images in different series that have the same stack orientation to have the ability to be scrolled in sync. If the series are linked or they are in the same frame of reference, this will synchronize the operations. This can be a precursor to using other tools such as Scroll Row , Scroll Page , and Brightness/Contrast Color . To use this tool, there will need to be two or more series present in the viewer. First, select the right box in the bottom right hand corner. Then click the Synchronize Series button. This will sync the two series.

The Stack tool is used to scroll through the slices of a multi-slice image.

The Scroll Frame tool is used to scroll a frame at a time when viewing a stacked series in grid view.
To use this tool, the images need to be in a multi-imaged instance series or a multi-frame instance series that is displayed in a tiled layout. Once the layout is achieved click the Scroll Frame button. This allows the scroll wheel to scroll by the frame. This is the default setting.


The Scroll Row tool is used to scroll a row at a time when viewing a stacked series in grid view.
To use this tool, the images need to be in a multi-imaged instance series or a multi-frame instance series that is displayed in a tiled layout. Then select the Scroll Row button. This allows the scroll wheel to scroll by the row. So, each image in the row in chronological order will scroll up or down. For example, if the tile layout is set up to be 5 frames/images in the row, then, the images will scroll up and down in rows of 5s.

The Scroll Column tool is used to scroll a column at a time when viewing a stacked series in grid view.
To use this tool, the images need to be in a multi-imaged instance series or a multi-frame instance series that is displayed in a tiled layout. Then select the Scroll Column button. This allows the scroll wheel to scroll by the column. So, each image in the column in chronological order will scroll up or down. For example, if the tile layout is set up to be 5 frames/images in the column, then, the images will scroll up and down in columns of 5s.

The Scroll Page tool is used to scroll a page at a time when viewing a stacked series in grid view.
To use this tool, the images need to be in a multi-imaged instance series or a multi-frame instance series that is displayed in a tiled layout. Then select the Scroll Page button. This allows the scroll wheel to scroll by the page. For example, if the tile layout is a 5 x 5, then, when the Scroll Page button is activated the next/previous 25 slices will appear when the scroll wheel is moved up or down.

The Toggle Cine tool is used to animate an image stack. If there are multiple cells with different image stacks selected, then they will animate in sync.
To use this tool, there needs to be at least one image stack selected. Then, click the Toggle Cine button to turn on/off the animation. Unless the animation is a loop, the Toggle Cine button will need to be off in order to use the scroll wheel function back and forth through the image stack.

The Cine Player tool is used to change the settings that are associated with the Toggle Cine tool.
To use this tool, click the Cine Player button. A small window will pop up with Cine Player at the top. Within this window, click the First, Previous, Stop, Play, Next, and Last buttons to navigate through the stack. There are five other settings that can be changed. To turn the Loop function on and off, click the box next to the word Loop. The Loop function will put the animation of the stack into a continuous loop. The Direction settings allow the animation to know which direction through the stacked images the animation will go. The options are Forward (first to last), Backward (last to first), Shuffle (random order), and Sweep (first to last and back to first). The next setting is FPS (Frames per Second). This setting can be manipulated to provide how many images the user sees per second. Ultimately the speed in which the animation goes through the images is controlled here. The Max Skip Frames setting will skip over the specified number of frames during the shuffle in the direction setting. The Frame setting will simply state what image within the stack is being viewed currently. The frame number will be within the range of the stacked images.



The Manipulation and Analysis Tools are used to alter the image or obtain analytical information.
The Line Profile tool used to see the intensity value underneath a line that is drawn on the image. The intensity value is displayed in graph form. To use this tool, select an image. Then click the Line Profile button and the Line Profile will be displayed. The option to choose a Gray or Color scale in which to measure will be presented. The Color scale will measure in a default function of Red, Green, or Blue. Then click and hold anywhere on the image and draw a line. While drawing the line, the graph will show the intensity values as the line is drawn longer. Once the desired length of the line is drawn let go of the mouse and manipulate the red circle underneath the graph to see the part of the line desired.

The Probe Tool allows to identify the density (pixel value) underneath the cursor, while also giving a x and y coordinate for location referencing. When looking at a CT image, the value underneath the cursor is displayed in X-ray attenuation using Hounsfield units (HU). For a grey scale image pixel value is the brightness of an image and Hue value is the number attributed to the shade of color. To use this tool, select the image that to use the Probe Tool button on. Click the Probe Tool button and then click again when the cursor is over the image to see the x,y and pixel value (Hue value for CT). Hold down the left-click of the mouse in order to see the information.

The Stretch Histogram Color tool used to improve the contrast within the image. To use this tool, select the Stretch Histogram Color button or the drop-down button consisting of the Brightness/Contrast Color / HSL (Hue, Saturation, Lightness) Color / Invert button and select the Stretch Histogram color button. Click repeatedly on the Stretch Histogram function button to contrast the image more.
Note
Stretch Histogram Color tool can only be activated when the image is in color.

Click the Stretch Histogram Color button repeatedly until the desired effect is established.
Or


The Brightness/Contrast Color Tool used to manipulate the brightness and contrast of the image. To use this tool, select the Brightness/Contrast Color Button from the drop-down button. Then, under each respective section, move the cursor left and right to get the desired effect.
Note
Brightness Contrast Color tool can only be activated when the image is in color.



The HSL tool used to manipulate the image by the Hue, Saturation, and Lightness. The Hue, Saturation, and Lightness all are at a default of zero. To use this tool, select the HSL button or from the drop-down button. Then under each respective section move the cursor left and right to get the desired effect.
Note
HSL tool can only be activated when the image is in color.


The Window Level tool is used to adjust the brightness and contrast of an image. To apply this effect, select the Window Level button and click on an image and hold the left mouse button down. Move the mouse left and right to adjust the brightness. Move it up and down to adjust the contrast. To stop adjusting, let up on the left mouse button.

The Custom Window Level tool is used to create and implement custom brightness and contrast templates.
To apply the custom templates, click the Custom Window Level button. Then choose the desired custom template or click the custom button to manipulate the brightness (center) and contrast (width) to the desired effect.



The Invert Tool used to make the image the complete opposite color from what is displayed. To use this tool, select the Invert Button or from the drop down button. The Invert function can be toggled on and off by one click of the Invert button.


Click the Invert button to toggle invert button on/off


The Rotate Clockwise tool is used to rotate images 90 degrees clockwise with each click. To use this tool, select the Rotate Clockwise button or from the drop-down menu next to Rotate Counterclockwise / Flip / Reverse , and select the Rotate Clockwise button for each 90 degrees clockwise rotation.


Click the Rotate Clockwise image repeatedly to rotate the image in a 90 degrees clockwise motion.


The Rotate Counterclockwise tool is used to rotate images 90 degrees counterclockwise with each click. To use this tool, select the Rotate Counterclockwise button or the drop-down menu next to Rotate Clockwise / Flip / Reverse and select the Rotate Counterclockwise for each 90 degrees counterclockwise rotation.

Click the Rotate Counterclockwise image repeatedly to rotate the image in a 90 degrees counterclockwise motion.


The Flip tool is used to mirror an image horizontally. The Flip tool button will flip the image across the x-axis. To use this tool, select the Flip button or the drop-down menu next to Rotate Clockwise / Rotate Counterclockwise / Reverse and select the Flip button every time that the horizontal mirror effect is wanted to apply to the image.

Click the Flip button repeatedly to toggle the image between the original image and the flipped image.


The Reverse tool used to mirror an image vertically. The Reverse tool button will flip the image across the y-axis. To use this tool, select the Reverse button or the drop-down menu next to Rotate Clockwise / Rotate Counterclockwise / Flip and select the Reverse button every time that the vertical mirror effect is wanted to apply to the image.

Click the Reverse button repeatedly to toggle the image between the original image and the reversed image.


The Align Center tool used to center the image along the y-axis in the viewer with one click. To use this tool, select the Align Center button or the drop-down menu next to the Align Left / Align Right button and select the Align Center button to center the image in the viewer along the y-axis.

Click the Align Center button.


The Align Left tool used to bring the image to the left side of the viewer along the y-axis with one click. To use this tool, select the Align Left button or to the drop-down menu next to the Align Center / Align Right button and select the Align Left button to bring the image to the left side of the viewer along the y-axis.


Click the Align Left button.


The Align Right tool used to bring the image to the right side of the viewer along the y-axis with one click. To use this tool, select the Align Right button or to the drop-down menu next to the Align Left / Align Center button and select the Align Right button to bring the image to the left side of the viewer along the y-axis.

Click the Align Right button.


The Align Top tool used to bring the image to the top of the viewer along the x-axis with one click. To use this tool, select the Align Top button or to the drop-down menu next to the Align Right / Align Middle button and select the Align Top button to bring the image to the top of the viewer along the x-axis.


Click the Align Top button.


The Align Bottom tool used to bring the image to the bottom of the viewer along the x-axis with one click. To use this tool, select the Align Bottom button or to the drop-down menu next to the Align Middle / Align Top button and select the Align Bottom button to bring the image to the bottom of the viewer along the x-axis.

Click the Align Bottom button.


The Align Middle tool used to bring the image to the middle of the viewer along the x-axis with one click. To use this tool, select the Align Middle button or to the drop-down menu next to the Align Bottom / Align Top button and select the Align Middle button to bring the image to the bottom of the viewer along the x-axis.

Click Align Middle button.


The Adjusting Image Viewing Tools are used to hone in on specific parts of the image and create different views of the image to allow for a better understanding of what is being observed.
The Pan tool is used to move the image around the area of the screen. To use this tool, select the Pan button. Click and hold the left mouse button down on the image and drag to the area on the screen that is desired.

The Zoom tool used to zoom in on the image. To use this tool, select the Zoom button. Click and hold the left mouse button down and move the mouse up or down to zoom in or zoom out.

The Toggle Full Screen tool used to make the image into a full screen image. To use this tool, click the Toggle Full Screen button to switch between full screen and regular screen.

The Reload tool is used to reset back to the original image. This does not deal with any of the annotations on the image but brings the image back to the original captured image. To use this tool, select the Reload button and the image should rest to its original.

Click the Reload button to revert to the original image.
The Shutter Object tool is used to take a screen capture of a small section of the image and then removes everything in the image that is not selected. To use this tool, select the Rectangle , Ellipse , or Polygon tool and draw a shape around the image that is desired to be viewed. Then click the Shutter Object. This will show the part of the image within the shape that was created.




The Edge Enhancement tool is used to view the lines composing an image in a clearer view. To use this tool, select the Edge Enhancement button. Click on the Edge Enhancement button and select the weight of sharpness.

The Toggle Endodontic tool is used to view the dental pulp in a clearer view. To use this tool, select the Toggle Endodontic button. Click on the Toggle Endodontic button to turn the filter on or off.

Click the Toggle Endodontic Tool button to toggle the Endodontic function on/off.


The Toggle Periodontal tool is used to view the gums in a clearer view. To use this tool, select the Toggle Periodontal button. Click on the Toggle Periodontal button to turn the filter on or off.

Click the Toggle Periodontal Tool button to toggle the Periodontal function on/off.


The Toggle Dentin tool used to view the hard-boney tissue that is beneath the enamel. To use this tool, select the Toggle Dentin button. Click on the Toggle Dentin button to turn the filter on or off.

Click the Toggle Dentin Tool button to toggle the Dentin function on/off.


The Spyglass tool used to look at the image through a focused magnified image. To use this tool, click the Spyglass button and move the cursor around. Click and hold in order to use the tool and see the magnified portion of the image. It will provide a positioning by x and y beneath the magnifying glass. Also, there is the amount of magnification that is being provided, placed next to the x and y position numbers. Finally, the size of the magnifying glass can be increased or decreased by the scroll wheel.


The Spyglass Invert tool used to look at the image through the invert function but in a more focused view than the whole image. The image is also magnified so a close up of that particular part of the image can be viewed. To use this tool, click the Spyglass Invert button. Then, click and hold to move the spyglass tool around to view the image through the spyglass. It will provide positioning by x and y beneath the magnifying glass. Also, there is the amount of magnification that is being provided, placed next to the x and y position numbers. Finally, the size of the magnifying glass can be increased or decreased by the scroll wheel.


The Spyglass Clahe tool is used to view the magnified image in enhanced contrast. Clahe stands for Contrast Limited Adaptive Histogram Equalization. To use the tool, click on the Spyglass Clahe and move the cursor around. Click and hold to move the spyglass tool around when viewing the image through the spyglass. It will provide positioning by x and y beneath the magnifying glass. Also, there is the amount of magnification that is being provided, placed next to the x and y position number. Finally, the size of the magnifying glass can be increased or decreased by the scroll wheel.


The Spyglass Reveler tool used to view the magnified image through a specialized image processing filter. This specialized image processing filter shows more detailed information underneath a magnified view. To use the tool, click on the Spyglass Reveler and move the cursor around. Click and hold to move the spyglass tool around when viewing the image through the spyglass. It will provide a positioning by x and y beneath the magnifying glass. Also, there is the amount of magnification that is being provided, placed next to the x and y position number. Finally, the size of the magnifying glass can be increased or decreased by the scroll wheel.


Annotation Images and Measuring Tools tools can be found on the Viewer Tab by selecting the Annotations button. These tools can be used to measure or highlight areas on an image. All effects that are placed on the image using these tools can be done without losing the original image.
The Select tool used to have a default cursor.
To use this tool, select the Select tool button or the drop-down menu button next to one of the buttons from the list below. Then select the Select tool button. With one click, a default cursor will become the cursor.


Click on the Select button.
The Arrow tool used to draw an arrow. It provides two green dots as a guide for where the arrow will be pointing. Moving the big green dot allows the arrow to orbit the smaller green dot. There are two small boxes used to manipulate the arrows length.
To use this tool, select the Arrow tool button or the drop-down menu button next to one of the buttons from the list below. Then select the Arrow tool button. The Arrow tool works well with the Point tool.


The Point tool used to create a small circle with an x in the center.
To use this tool, select the Point tool button or the drop-down menu button next to one of the buttons from the list below. Then select the Arrow tool button. The Point tool works well with the Arrow tool.


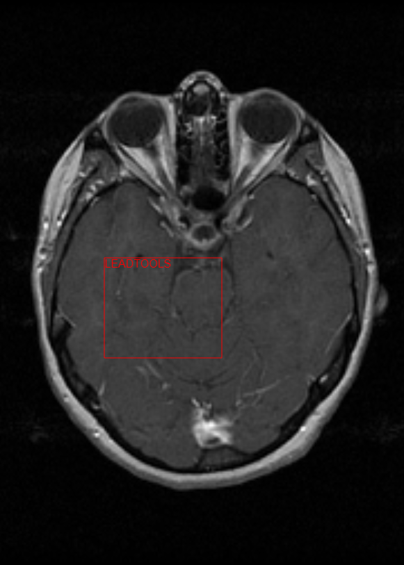
The Rectangle tool used to create an outline of a rectangle. The rectangle can be resized and rotated by selecting an already created rectangle and manipulating the small boxes and green dots.
To use this tool, select Rectangle tool button or the drop-down menu button next to the one of the buttons from the list below. Then select the Rectangle tool button and draw the rectangle to the size desired.


The Ellipse tool used to create an outline of an oval. The oval can be resized and rotated by selecting an already created rectangle and manipulating the small boxes and green dots.
To use this tool, select the Ellipse button or the drop-down menu button next to one the buttons from the list below and then select the Ellipse tool button.


The Curve tool used to draw a line that will have a curve in it.
To use this tool, select the Curve button or the drop-down menu button next to a button from the list below and select the Curve tool button. Then click on the image and draw a line that is desired. The next click will then make the line curve. This creates a start point, apex, and end point.


The Line tool used to create a line. The line can be resized and rotated by selecting an already created line and manipulating the small boxes and green dots.
To use this tool, select Line tool button or the drop-down menu button next to a button from the list below and then select the Line tool button. Then draw the Line to the size desired.


The Free Hand tool is used to simulate the drawing of a pen. The lines can be resized and rotated by selecting an already created line and manipulating the small boxes and green dots.
To use this tool, select Free Hand tool button or the drop-down menu button next to one of the buttons listed below and select the Free Hand tool button. Then draw the Free hand to the size desired.


The Polyline tool used to create a line in any direction within the x,y-axis.
To use this tool, select Polyline tool button or the drop-down menu button next to one of the buttons from the list below and then select the Polyline tool button. Then draw the Polyline to the shape and size desired by clicking after each line is set. Double click to allow access the resizing and rotation function.


The Polygon tool is used to create three or more connected lines to create a closed shape. The Polygon can be resized and rotated by selecting an already created polygon and manipulating the small boxes and green dots.
To use this tool, select Polygon tool button or the drop-down menu button next to one of the buttons listed below and then select the Polyline tool button. Then draw the Polygon to the shape and size desired. Once the finished drawing is in the desired shape, double click to close out shape.


The Text tool used to create a text box that will overlay on the image. The Text tool can be resized and rotated by selecting an already created Text box and manipulating the small boxes and green dots.
To use this tool, select Text tool button or the drop-down menu button next to one of the buttons listed below and then select the Text tool button. Then draw the Text box to the shape and size desired. Once the Text box is created, click on the box to have the ability to write in it.


The Note tool used to create a sticky note that will be displayed on the image. The Note tool can be resized and rotated by selecting an already created Note box and manipulating the small boxes and green dots.
To use this tool, select Note tool button or the drop-down menu button next to one of the buttons listed below and then select the Note button. Then draw the sticky note to the shape and size desired. Once the Note is created, click on the box to have the ability to write in it.


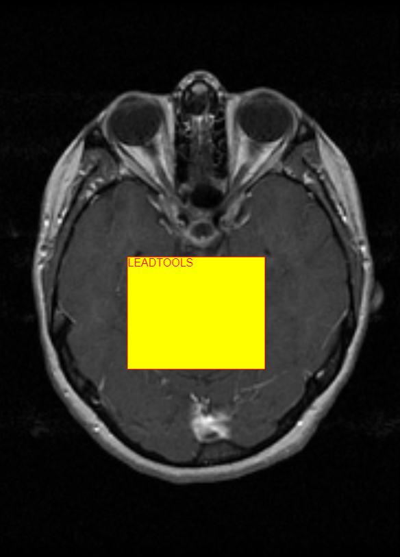
The Highlight tool used to create an area that will be highlighted. The Highlight tool can be resized and rotated by selecting an already created highlighted area and manipulating the small boxes and green dots.
To use this tool, select Note tool button or the drop-down menu button next to one of the buttons listed below and then select the Highlight button. Then draw the highlight to the shape and size desired.


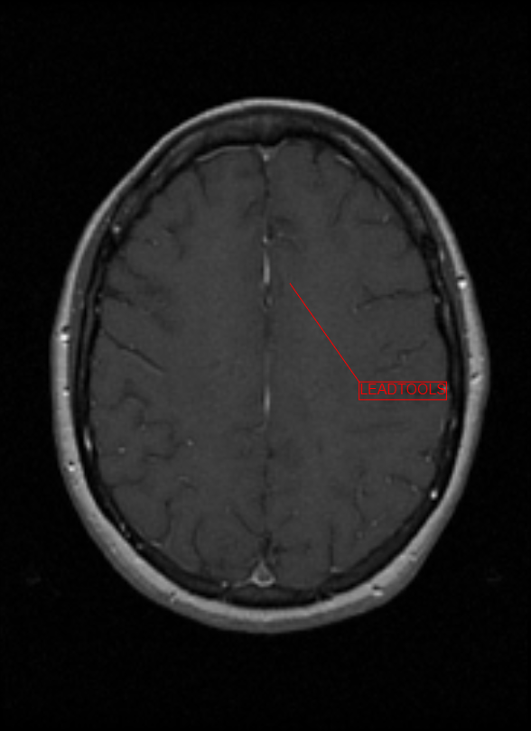
The Text Pointer tool used to create a text box with the first click and then a line on the second click. The Text Pointer tool can be resized and rotated by selecting an already created highlighted area and manipulating the small boxes and green dots.
To use this tool, select Text Pointer tool button or the drop-down menu button next to the one of the buttons listed below and then select the Text Pointer button. Then draw the Text Pointer box to the shape and size desired. Once the Text Pointer is created, click where the line from the text box is going to go. To write in the box, click on the box and a blinking cursor will appear.


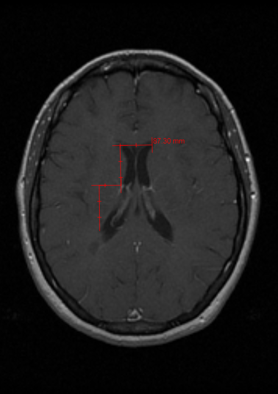
A set of Measurement Tools is available to measure distance or angles on an image (e.g., Ruler ).

The Ruler tool used to measure the actual distance from one point to another on an image.
WARNING
Due to limitations in data acquisition, the calculations are approximate.
To use the Ruler tool, select the Ruler button or the drop-down menu button next to one of the buttons listed below and then select the Ruler button. Click and hold on an image at the first point of measurement. Drag to the second point and let up on the mouse. The measurement will be displayed in a unit of measure selected. Millimeters is the default unit of measure.



The Poly Ruler tool is similar to the Ruler tool but is used for non-linear measurements.
WARNING
Due to limitations in data acquisition, the calculations are approximate.
To use the Poly Ruler tool, click on the Poly Ruler button or the drop-down menu button next to one of the buttons listed below and then select the Poly Ruler button. Click and drag on the first point of the measurement, then click and drag on the second point of the measurement, then the third, and so on until finished creating a measured line. The measurement will be displayed in millimeters by default.


The Protractor tool is used to measure angles.
WARNING
Due to limitations in data acquisition, the calculations are approximate.
To use the Protractor tool, select the Protractor button. Click and drag starting from the point where the angle will be measured to the point where the first line will end. Then click and drag to the point where the second line will end. The measurement of the angle will appear in red.


The Calibrate Ruler tool used to measure an object of known size and then used to manually put in the length of the of the object. This will calibrate the other Ruler functions ( Ruler , Poly Ruler ) to then use the measurement from the Calibration Ruler as the standard for anything measured after that.

To use this tool, select the Ruler tool button and measure the object with the known measurement. Then click the drop-down menu next to the Ruler button and click the Calibrate Ruler button. The length of the known object and the unit of measure that the object is in can then be inputted. There is also a small button on the screen that says Apply to all Images. The Apply to all Images box will need to be selected before clicking OK, in order for the Ruler and Poly Ruler to measure in the calibrated measurement for all measurements on the image.

The Show/Hide Annotations tool used to toggle all of the annotations on the image on and off.
To use this tool, select the Show/Hide Annotations tool or click the dropdown menu next to the Delete Annotations , Clear Annotations , Clear All Annotations , Save Annotations , or Load Annotations button and click the Show/Hide Annotations tool. Then, click the Show/Hide Annotations it to manipulate all of the annotations on and off.


To toggle the annotations click the Show/Hide Annotations button.
The Delete Annotations tool used to delete selected annotations.
To use this tool, select the annotation that will be deleted and then click the Delete Annotations button or click the dropdown menu next to the Show/Hide Annotations , Clear Annotations , Clear All Annotations , Save Annotations , or Load Annotations button and click the Delete Annotations tool.

The Clear Annotations tool used to remove all the annotations from a single selected image just by clicking the button.
To use this tool, select the Clear Annotations tool or click the dropdown menu next to the Show/Hide Annotations , Clear All Annotations , Save Annotations , or Load Annotations button and click the Clear Annotations tool and click it.

Click the Clear Annotations button.
The Clear All Annotations tool used to remove all the annotations on an entire series.
To use this tool, select the Clear All Annotations tool or click the dropdown menu next to the Show/Hide Annotations , Clear Annotations , Save Annotations , or Load Annotations button and click the Clear All Annotations tool and click it.

Click the Clear All Annotations button.
The Save Annotations tool used to save any annotation to a selected image. This allows access to the Load Annotations button, which is used to load annotations back onto the image even if it gets cleared. This button can not be used unless there are annotations displayed on the image.
To use this tool, select the Save Annotations button or click the dropdown menu next to the Show/Hide Annotations , Clear Annotations , Clear All Annotations , or Load Annotations button and click the Save Annotations. This will bring a pop-up window where a description of the annotations can be logged. Then, click OK to save.


The Load Annotations tool used to load saved annotations. This button cannot be accessed if there are no annotations saved.
To use this tool, select the Load Annotations button or click the dropdown menu next to the Show/Hide Annotations , Delete Annotations , Clear Annotations , Clear All Annotations , or Save Annotations button and click the Load Annotations. Then, choose the annotation file that is intended to be uploaded. The annotations will then appear on the image that it was saved to. If one image is selected and wrong annotation file is clicked, then no annotations will load to the selected image but to the corresponding image in the series.

OR
Click Cancel to exit the Load Annotations menu.
OR
The 3D Imaging Tools can be found on the top of the Viewer Tab by selecting the 3D Imaging Tools. These tools can be used to increase the diagnostic quality of the image. All effects that are placed on the image using these tools can be done without losing the original image.
The Cross-Hair tool is used to help navigate the 3D Image. The Cross-Hair tool provides a cross hair on the Axial, Coronal, and Sagittal planes that move in sync with each other providing the same location. The reason there is symmetry between the cross hairs is due to the orthogonal projections being generated from the axial stack with the MPR generation of the three planes. To use this tool, click on the Cross-Hair button. Then click any of the three plane windows. The cross hair will formulate on the window that is selected, then select one of the other two windows to get the other windows to produce the cross hair.


The Show Reference Line Tool shows the intersection of the selected image with in an orthogonal/oblique stack (3D image). A line will appear in the adjoining views where the intersection is taking place as well as a number that corresponds to the image that is being intersected.
To use this tool, select an image. Then click the Show Reference Line button. An intersecting line will populate in the other two views, as well as a number that corresponds to the image slice.


The Show First and Last Reference Line tool shows where the first and last image in the Image set are located. This tool helps give orientation to the 3D image.
To use this tool, select the original image in the Axial View. Then click the Show First and Last Reference Line button. This should allow two horizontal blue reference lines with numbers associated to the first and last image in the set, appear at the top and bottom of the Coronal and Sagittal view. Also, when the Show First and Last Reference Line button is applied, and the Sagittal View is selected, two vertical blue reference lines will appear in the Coronal and Axial view. Select the Coronal window with the Show First and Last Reference Image button and a single vertical blue line will appear in the Sagittal view.
Steps to use the Show First and Last Reference Line
Click the Show First and Last Reference Line to toggle between on/off.

The 3D Cursor tool is used to locate a point on an image in different image boxes. When the image is clicked a blue circle will show up in the other orthogonal stacks.
To use the 3D Cursor tool, select the image plane that is intended to be viewed. Then, click the 3D Courser button. Once the 3D Cursor button is selected, click and hold to use the 3D Cursor. When the cursor is moved around, there will be blue circles that are in orthogonal stacks that are moving in symmetry with the cursor. To stop using the 3D cursor release the left-click button.



VRT stands for Volume Rendering Technique. The VRT tool is used to make a solid 3D rendering of the 3D image set selected.
To use this tool, select the 3D image set and then click the VRT button or the drop down menu next to the MIP , MPR (3D) , and then click the MIP button. This should provide a window with the 3D image set in a red box and rendered by the VRT.


Click the VRT button.

MIP stands for Maximum Intensity Projection. MIP consits of projecting the voxel with the highest attenuation value on every view throughout the volume onto a 2D image. Only the pixel with the highest Hounsfield number along the Z-axis is represented, so in a single bidimensional image all dense structures in a given volume are observed.
To use this tool, select the 3D image set and then click the MIP button or the drop-down menu next to the VRT , MPR (3D) , and then click MIP button. This should provide a window with the 3D image set in a red box and rendered by the MIP.

Click the MIP button.

MPR stands for Multiplanar Reconstruction. The MPR tool used to cut the 3D rendered image into the sagittal, axial, and coronal planes.

To use the MPR tool, select the 3D image set and then click the MPR button or the drop-down menu next to the VRT , MIP , and then click MPR button. This should provide a window with the 3D image set in a red box and the planes of the MPR are shown on the 3D rendered image.
Click the MPR button.

The 3D Settings tool is used to change the settings for the 3D rendered object in the MPR (3D) window. To use this tool, select the 3D rendered object. Then click on the 3D Settings tool. This will populate a pop window titled 3D Settings. There are two main sections that can be changed, the General functions and the MPR/Volume function.


The functions that can be manipulated within the General section is Show Volume Border, Show Rotation Cube, Projection Method (Perspective, Orthogonal), Resize Factor (Full, Half, Quarter). Toggling the Show Volume Border on/off will remove/add the red 3D box around the 3D Image. Toggling the Show Rotation Cube on/off will remove/add the small cube in the bottom right hand corner of the 3D rendered objects window. The Projection Method can be changed between Perspective mode, (description perspective), and Orthogonal mode, (descriptions of Orthogonal mode). The Resize Factor function allows the 3D rendered object to change the size. The MPR/Volume Function can be altered depending on which type of filter the 3D Object is being rendered. The MPR section can be changed when the MPR filter is activated. The MPR section allows the Show Cross Lines to be toggled on/off. The Volume section can be changed when the VRT , MIP , or MPR (3D) filter is activated. With in the Volume section, the Low Res Quality can be changed. Also the Show Clipping Frame can be toggled on and off.

The Panoramic tool is used to generate and view Paraxial Cuts from a 3D image.
To use this tool, click the Dental Panoramic button. Once clicked, left-click to apply points onto the image. Right-clicking on a point will allow the deletion of the point or polygon. To stop creating points onto the image hold left-click and right-click. This should now provide a window which will display the Paraxial cut.


The Rotate 3D Object tool used to rotate the 3D image.
To use this tool, click the Rotate 3D Object button and then the ability to rotate the 3D object is available.

The Head Orientation tool used to turn the 3D rendered image to be viewed anatomically from the head looking down to the feet.
To use this tool, select the 3D Rendered Image and then click on the H button or the drop-down menu next to 3D Settings , Cross Hair , F, L, R, A, P and then click the H button.

The Feet Orientation tool used to turn the 3D rendered image to be viewed anatomically from the feet looking up the head.
To use this tool, select the 3D Rendered Image and then click on the F button or the drop-down menu next to 3D Settings , Cross Hair , H, L, R, A, P and then click the F button.

The Left Orientation tool used to turn the 3D rendered image to be viewed anatomically from the left side looking right.
To use this tool, select the 3D Rendered Image and then click on the L button or the drop-down menu next to 3D Settings , Cross Hair , H, F, R, A, P and then click the L button.

The Right Orientation tool used to turn the 3D rendered image to be viewed anatomically from the right side looking left.
To use this tool, select the 3D Rendered Image and then click on the R button or the drop-down menu next to 3D Settings , Cross Hair , H, F, L, A, P and then click the R button.

The Anterior Orientation tool used to turn the 3D rendered image to be viewed anatomically from the anterior to posterior side of the object.
To use this tool, select the 3D Rendered Image and then click on the A button or the drop-down menu next to 3D Settings , Cross Hair , H, F, L, R, P and then click the A button.

The Posterior Orientation tool used to turn the 3D rendered image to be viewed anatomically from the posterior to the anterior side of the object.
To use this tool, select the 3D Rendered Image and then click on the P button or the drop-down menu next to 3D Settings , Cross Hair , H, F, L, R, A and then click the P button.

The DICOM Imaging buttons are used to see the DICOM information for each image.
Click the Toggle Tags button to turn on and off the DICOM tags.
The Show DICOM tool shows a complete list of the DICOM information that is associated with the image To use this tool, select the Show DICOM button and view the information in the pop-up viewer.


The Capture tool used to take a picture of the image being viewed and saving the image as a JPG file format.
To use this tool, click the Capture button. Once captured, the option to open, save, or cancel will be available.
The Waveform Basic Audio tool used to play any audio from a DICOM file.
To use this tool, select the image that has the audio file. Then click the Waveform Basic Audio button to listen to the audio. If an image is selected that does not have audio attached, then a window will come up to indicate that the selected instance does not have audio.

The Exporting Images Tool is used to export or print the series images from the web viewer to the local file folder.
The Export tool is used to export/print the series.
To use the tool, click the Export button and a menu will appear on the screen. There are options to change the Selection of which image(s) are being exported, the Format in which file will be exported in, create a Password for the file, and the Compression size. When the selection of different options, the Export settings allows manipulation of the file(s) even further. This can be done by selecting the Create DICOMDIR, preserve bit depth of original, reduce grayscale to 8 BPP, Burn Saved Annotations, Anonymize, Include Viewer, White background, and Print patient information. Once the export settings are configured click OK and it should export to your local file folder.


The Configuration Settings button is used to administer global options and other high-level configurations (e.g., changing user password).

The Change Password button can be used to change the password for a user.
To use the tool, click the Change Password button and a menu will appear on the screen. To change the password, input the original password credentials and a new password into the box.

The Permissions Management button allows an administrator to control the authorization a current or new user will have.

To use this tool, click the Permissions Management button. The User Management section will provide the ability to create and update the roles authorized to a user. To create a new user, select the Create New User button and input the new User Name and Password Credentials. Selecting the Update User button will allow the administrator to change a created users password and change the permissions allowed for a user. To update a user, select a user from the drop box. Then, input a new password or enable a permission to provide new authorization via the selectable boxes.
The Roles Management section will allow an administrator to create a Role which can be used to categorize a new user. Each role can be customized to provide access or limit features when using the HTML5 Medical Viewer. To create a new role, select the Create New Role button and name a new role. After selecting the CREATE button to create the role, selecting the Update Role button will provide the ability to assign permissions via the selected role.
The Role Patient button allows an administrator to control the patients that are visible to a user based on the categorized role.
To use this tool, select the Role Patient button and select a role to manipulate from the drop down box. If a role is not seen, a role can be created through Permissions Management . With a Role selected, select a check mark next to the ID table to enable or disable a patient. The items listed can be filtered by specifying an ID or name, or clicking a column to apply an assortment of order.

The User Patient button allows an administrator to control the patients that are visible to a direct user.
To use this tool, select the User Patient button and select a user to manipulate from the drop down box. If a user is authorized by an already existing role, the entry will appear italicized and cannot be modified through the window. With a User selected, select a check mark next to the ID table to enable or disable a patient. The items listed can be filtered by specifying an ID or name, or clicking a column to apply an assortment of order.

The Config Global Options button provides the ability to change the default behavior of the HTML5 Medical Viewer.
To use this tool, select the Config Global Options button and a window will appear where the default options used by the viewer cam be changed.
The initial number of rows that will be used to display a series. This is only valid when the Viewer Mode is set to Study View, and the Single Series mode is set to false.

The initial number of columns that will be used to display a series. This is only valid when the Viewer Mode is set to Study View, and the Single Series mode is set to false.

The Viewer Mode will display only one series at a time with a series list on the side to choose from and compare (when choosing Series View), or to display multiple series at the same time (when choosing Study View).

Enable or disable the ability to view multiple patients with each patient displayed on a separate tab.

Enable or disable displaying multiple series at the same time. This is only valid when selecting “Study View” for Viewer Mode .

Show a border around the series image that will be highlighted when selected.

This is reserved for future use.

When selecting a patient/study the series view is populated. A thumbnail will be displayed next to each series that can be enabled or disabled.

The width of the series thumbnail.

The height of the series thumbnail.

The empty area color that will be used to display the series. This can be seen if “Study Mode” is enabled to display multiple series. With the default rows and columns count to 2x2, a series will be displayed with 3 empty areas. These areas will have this background color.

The border color that is used when a series is selected.

The background color of the series.

Enable the autocomplete when on the search page and the patient ID text box is clicked on.

Enable the autocomplete when on the search page and the patient name text box is clicked on.

The default text that will be displayed when the 3D volume is saved as derived. This is done by creating a 3D volume, then selecting the 3D volume cell, then clicking on Save as Derived .

The default text that will be displayed when you save a series as derived. This is done by selecting the series, then clicking on Save as Derived .

The default text that will be displayed when a panoramic cell is saved as derived. This is done by creating a panoramic cell, then selecting the panoramic cell, then clicking on Save as Derived .

Allow the user to set the series number when using the Save as Derived button.

Allow the user to set the protocol name when using the Save as Derived button.

Enable or Disable the ability to log every database request sent to the server.

Enable or disable logging user activities from the list below:
Logging user activities are only valid when the "Enable Audit log" is set to true.

This is reserved for future use.

This is reserved for future use.

This is reserved for future use.

The color of the annotation drawn on the series. Drawing an annotation can be done by clicking on any annotation toolbar button then clicking and dragging to create an annotation object.

The color of the annotation Text drawn on the series. Drawing an annotation can be done by clicking on a text annotation toolbar button, then clicking and dragging to create an annotation object.

The color of the Highlight annotation drawn on the series. Drawing annotation can be done by clicking on the highlight annotation toolbar button, then clicking and dragging to create an annotation object.

The timeout that will happen when the viewer is not interacted with (which can be set by Idle timeout). This will send the viewer back to the login screen.

The timeout (in seconds) that will happen when the viewer is not interacted with. This will send the viewer back to the login screen. This is only valid when “Enable idle timeout” is set to true.

A warning that will happen when the idle timeout lapses. A small window will appear which contains the number of seconds left until the medical web viewer goes back to the login screen.

The maximum number of study results that will be displayed on a search.

The maximum number of series results that will be displayed when you search.

When Search Other Patient Ids is true, and a value is entered in the Patient's ID of the search screen:

All patients will be returned with that match the value entered in the search field in either of these DICOM elements:

(0010,0020) Patient ID DICOM Element
OR
(0010,1000) Other Patient IDs DICOM Element
When Search Other Patient Ids is false, the only patient records returned are those that match:
(0010,0020) Patient ID DICOM Element
When a search is done for a patient/study that has a structured display, it will be displayed as an item in the series list.

The template background color seen when opened through the Template Editor .

The template foreground color seen when opened through the Template Editor .

The template border color seen when opened through the Template Editor .

The template border size seen when opened through the Template Editor .

If a template is open (an editable one, which is the one on the left side list without the lock), the boxes can be moved around. If it is moved outside of the viewer bounds, an animated ant border will be displayed. This behavior can be disabled or enabled with this option.

Allows display of a default script on each template cell.

The threshold for lazy loading. Lazy loading is useful when loading a series that contains a huge amount of frames. If the series is loaded, not all all of the frames will be loaded. Lazy Loading works by only loading the visible frames, and when scrolling down or up to view new frames. If the series has frames that is less than this number, all of the frames will be loaded and lazy loading will not be activated.

The threshold for lazy loading for mobile. Lazy loading is useful when loading a series that contains a huge amount of frames. If the series is loaded, not all all of the frames will be loaded. Lazy Loading works by only loading the visible frames, and when scrolling down or up to view new frames. If the series has frames that is less than this number, all of the frames will be loaded and lazy loading will not be activated. Mobile has less memory than a desktop, so usually this threshold is less than a desktop.

This is obsolete

This is how the date is formatted

This is how the time is formatted

Show or hide the overlay text that is displayed on top of a cell. This contains information about the series such as patient name.

Show or Hide the custom layout that will appear when using Change Study Layout or Change Series Layout .

A timeline that will appear at the bottom of the viewer that contain all the series.

This links the frames together. When loading a series with multiple frames and one frame is manipulated ( window level, scale, offset) the others will change as well.

If a series contains some frames that have different orientations and positions, the viewer will separate those into multiple series and display them separately. Setting this value to true will prevent that and will display all frames in one series.

Instead of loading a large image at once, the viewer will display a low resolution image. When the image is zoomed, only the position that is visible will be displayed in high resolution. This is the width and height of the low resolution image.

Instead of loading a large image at once, the viewer will display a low resolution image. When the image is zoomed, only the position that is visible will be displayed in high resolution. This is the width and height of the low resolution image for a structured display.

The e-mail body message that will be sent when using a two factor authentication feature.

The number of results that will be displayed when a search is performed. If the results are larger than this number, a paging will happen which separates the results into pages. Page size is set here.

Enable the ablity to print the layout (like structured display), or just print the selected image.

The Print To Pdf button output name. This can be tokenized which means that the dicomdataset file name information can be used. Click on the question mark at the right to display these options.

The Print To Pdf text background color. The text will be displayed at the bottom of the pdf output.

The Print To Pdf text color. The text will be displayed at the bottom of the PDF output.

The Print To Pdf background Color.

The render side for the MPR (3D) . The MPR can be rendered on the client side which means the client itself will render the MPR, or it can be rendered on the server side.

The rendering method used for 3D rendering. This can be software only, or it can be hardware and software for a fall back option.

Enable the Okta Sign In which will be displayed at the login screen.

Enable caching which will enable the viewer to load a series or 3D image faster the next time.

The Config Global Overlays button allows an administrator to customize and create new overlays to display data from a loaded series.

To use this tool, select the Config Global Overlays button. A window will appear that can be used to change the behavior on how an overlay is displayed. The created overlays are organized by the position displayed in the drop-down list. Overlays will also be displayed in the section of a window based on the position it is created in.
To Add or Edit an overlay tag, select the button named Add overlay tag and Edit overlay tag. Next, specify an Overlay Type using the drop-down menu. When selecting the Overlay Type User Data, a valid DICOM Tag needs to be provided in accordance to where the value can be found. If User Data is not selected, the Title and Tag fields will be empty. The color of the overlay tag can be changed by clicking within the Color box. A change to the overlay settings can be undone by selecting the Undo Tag changes button. If a tag is no longer needed, it can be deleted by using the Delete selected tag button. Any changes that would like to be maintained will need to be saved by using the Save overlay tags button.
The Config Global Toolbar button in the Configuration Settings allows an administrator to enable or disable features provided by the HTML5 Medical Viewer.

To use this tool, select the Config Global Toolbar button. A window will appear that can be used to modify the default buttons provided by the HTML5 Medical Viewer. To modify the buttons seen, select a role from the drop down menu. This will ensure that any features modified will be presented for the selected role. To add a new toolbar item, select the Add root toolbar item or Add toolbar item. The Add root toolbar item will create a new button at the end of the list of buttons. The Add toolbar item button will allow the creation of a button in the directory of an already existing button. The Edit toolbar item will provide the ability to overwrite or change an already existing button. The Delete toolbar item provides the ability to delete an existing button. The visibility of a button can be disabled via the checkboxes. To save any changes made to the Global Toolbar, the Save toolbar settings button can be used to confirm any changes.
When creating a new toolbar item, the ID that is provided needs to be a unique ID that does not already exist. Supplying an already existing ID will result in the button being disabled after saving changes.
The Clear Cache button can be used to manually free images that are cached. Caching saves processing time when viewing DICOM images but can be cleaned up to maintain efficiency.
To use this tool, select the Clear Cache Button to remove the held data.

Select the Clear Cache button to free images.
The Config Remote PACS button can be used to add a DICOM PACS server used to retrieve images.
To use this tool, select the Config Remote PACS button. A window will appear that can be used to add, edit, delete, and save a PACS configuration. To add a PACS Server, provide a valid Client AE Title and select the Add PACS server button. The Edit Remote PACS Server window will now appear which will require the server AE Title, IP Address, and Port credentials. Providing correct credentials for these fields will provide a connection was successfully verified message.
If an invalid parameter is added in the Remote PACS Server settings window, an "attempt to connect was forcefully rejected" exception will occur. If an invalid Client AE title is provided, a "Calling AE Title not recognized" exception will occur.


Select the Query PACS button.

Select the Remote PACS connection. If a connection does not appear, a valid connection needs to be configured through the Config Remote PACS button.

Select search. The studies will then populate from the Remote PACS server.

Select a study. The study will be added as series to the HTML5 Medical Web-Viewer.

The added series can now be found under the found studies.

The Template Editor can be used to customize a display template used for viewing images.

To use this tool, select the Template Editor button. The Template Editor window provides preconfigured templates that can be modified, as well as provides the ability to create a new template. To create a new template, select the New button and use the Draw Box button to draw the dimensions for the window. Double clicking the created window will open the Edit Script window. The Properties window to the left of the screen can be used to change the behavior of the window.
The Save button is used to save the changes made to a template. The Rename button is used to rename a template. The Copy button is used to copy a template window to another location on the grid. The Delete button is used to delete a created template. The Grid button provides a grid view that is used to ensure that a window fits expected dimensions. The Configure button can be used to change the size of the grid. The Delete Box button can be used to delete a created window in the template. The Export button can be used to save a template as a JSON file. The Import button will allow you to upload a previous existing template. The Return button can be used to return back to the HTML5 Viewer.
If two or more windows are created in the template, the CTRL key can be used to select more than one window. Selecting these windows will enable the Alignment tools. The Align left button will align the windows on the left side. The Align right button will align the windows on the right side. The Align Center is used to have the windows share the same Y-axis. The Align top button will align the windows on the top side. The Align bottom button will align the windows on the bottom side. The Align middle button will align the windows horizontally. The Same Width button will resize the widths of the windows to be identical. The Same Height button will resize the Heights of the windows to be identical. The Same Size button will resize the width and height of the windows to be identical.
Select Change Study Layout under the Change Series Layout button.

Select the custom template from the drop down menu

Select Ok to confirm the changes. The created template will now be applied

The Theme button provides the ability to change the background and font color of the Medical Web Viewer. This is by default configured to Dark Theme but can be toggled off.
To use this tool, select the Theme button and uncheck the Enable Dark Theme box to toggle the preferred color.

The Log Out button will sign out the current user.
To use this button, select the Log Out button.
The About button provides the current version of the Medical Web Viewer.
To use this tool, select the About button.
The HTML5 Web Viewer is able to be accessed from a number of devices as long as there is internet. For diagnostic purposes we suggest using a screen that is 7” in length or greater. For devices that use touch to navigate, all tools should function just as if you are using a mouse and keyboard. There are a couple of functions that will require two fingers. These are stated below.
To Zoom in and out take two fingers and move them apart/together to zoom in or out.
Tools in the annotation/measurement tool bar used in HTML5 Web Viewer can be used and completed with a double left-click. This will hold true for the tablet use as well. Just double tap the screen where to end the function to complete the annotation or measurement.